皮肤长红色疙瘩会是什么病
来源:深圳新兴皮肤病专科医院 时间:2016-11-10
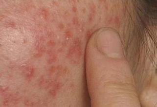
皮肤长红色疙瘩会是什么病?患者咨询:最近我的身上起了不少的小红疙瘩,而且皮肤还发肿发痒,让我的心情变得很浮躁,这种情况已经不知道发生过多少次,我现在都有点受不了了。请问,皮肤长红色疙瘩是什么病?
新兴皮肤专家为您解答:您好,根据你描述的症状来看,您可能是患了皮炎、荨麻疹、皮肤过敏、毛囊炎其中的一种。皮肤长红色疙瘩是一种常见的皮肤病,瘙痒是影响生活与工作的领先大要素,并且有红肿的情况出现,给外貌也造成很大的影响,是一种深深困扰着我们身心健康的疾病,给我们的生活都造成了极大的影响,所以我们除了要及时发现病情外,更要根据病因采用有针对性的治疗方法,避免带来更严重的侵害。
【荨麻疹】
荨麻疹基本损害为皮肤出现风团。常先有皮肤瘙痒,随即出现风团,呈鲜红色或苍白色、皮肤色,少数患者有水肿性红斑。风团的大小和形态不一,发作时间不定。风团逐渐蔓延,融合成片,由于真皮乳头水肿,可见表皮毛囊口向下凹陷。风团持续数分钟至数小时,少数可延长至数天后消退,不留痕迹。皮疹反复成批发生,以傍晚发作者多见。风团常泛发,亦可局限。有时合并血管性水肿,偶尔风团表面形成大疱。
【皮肤过敏】
皮肤过敏是一种变态反应,由变应原进入机体后,促使机体产生相应的抗体,引发抗原抗体反应,表现为红斑、丘疹、风团等临床客观体征,常伴瘙痒。而敏感性皮肤通常是对刺激的耐受性降低,出现一系列异常感觉反应,大多缺乏客观体征,其发生机理虽然不是很清楚,但普遍认为不伴有免疫或过敏机制。
【毛囊炎】
初起为与毛囊口一致的红色充实性丘疹或由毛囊性脓疱疮开始,以后迅速发展演变成丘疹性脓疱,中间贯穿毛发,四周红晕有炎症,继而干燥结痂,约经1周痂脱而愈,但也有反复发作,多年不愈,有的也可发展为深在的感染,形成疖、痈等,一般不留瘢痕。皮疹数目较多,孤立散在,自觉轻度疼痛。在成人主要发生于多毛的部位,在小儿则好发于头部,其皮疹有时可互相融合,愈后可留有小片状秃发斑。
【皮炎】
皮炎的临床表现多种多样,通常可分为急性期、亚急性期及慢性期三种皮损。急性期表现为红斑、水肿,可伴有丘疹、水疱或渗出。病理表现为表皮细胞间水肿,海绵形成,表皮内水疱。亚急性期水疱、红肿及渗出减少,出现结痂及脱屑。慢性期以皮肤肥厚革化为主,可伴有色素沉着或色素减退,组织病理表皮增厚,棘层肥厚,真皮乳头淋巴细胞浸润。上述三期间常无明显界限,有的患者可同时并存,也有的皮炎不一定要经历三期。
专家提醒:在脸上出现红色疙瘩的症状以后,患者要积极的采用措施来防止病情加重,首先应停止使用所有化妆品,避免皮肤再受到刺激。同时平时要留意强化面部肌肤的抵抗力,保持充足的睡眠,饮食要均衡,尽量阔别污染环境,减少皮肤的刺激等,如果症状仍然得不到缓解,则需要到正规的皮肤病医院诊断,根据病因病情采用科学的方法对症治疗,才能有效治疗。切记不要盲目的使用药物,以免药不对症,使病情加重,耽误了较好的治疗时机和效果。
“3T通调疗法”治疗皮炎
“3T通调疗法”根据中医“病在肌肤,根在血液,治血必治脏”的理论,采用医外治法(穴位介入、净血疗法)、免疫调节系统和中药熏蒸法完美融合的中医治疗 理念,采用现代生物工程技术与中医的草本化和西医的现代化联合应用。针对各种不同原因所致的皮肤过敏,皮炎、湿疹、荨麻疹,采用个性化临床治疗方案,可以彻底治疗各种皮肤过敏,皮炎、湿疹、荨麻疹。
“3T通调疗法”三大技术优势
◆1、快速高效:针对患者不同过敏源,采用个性化治疗方案,结合中药整舱熏蒸治疗系统,将中药物理作用于病灶,可快速产生抗过敏源体;
◆2、疗效持久:将中药物理作用于病灶,可彻底改变过敏体质,有效调节机体免疫力恢复,恢复自然生理机能,避免长时间口服西药激素及外用膏剂所导致的毒副作用;
◆3、防止复发:辅以中药内调外治,加强病灶营养,提高自身免疫力,保持机体自然生理机能动态平衡,恢复皮肤自我养护功能,彻底解决复发难题。
【推荐专家 周忆云】
专家简介:周忆云,深圳新兴皮肤病医院皮肤科主任,毕业于中国医科大学,中华医学会皮肤病专业委员会会员,卫生部皮肤病防治小组特邀专家,从事皮肤病医疗、教学和科研工作多年,具有丰富的工作经验和较高的学术造诣。曾在国家级、省级期刊发表论文20余篇,其科研成果多次获奖,多次受邀出席亚太地区疑难皮肤病专业研讨会。
擅长项目: 擅长治疗白癜风、牛皮癣、鱼鳞病、灰指甲、过敏性皮炎、湿疹、荨麻疹、座疮等皮肤病,尤其在治疗白癜风方面尤为突出,并且带领专家专家团队经过大量的实验和研究,研发效果极好的黑色素细胞封育技术与皮肤养息生态技术。
深圳新兴皮肤病专科门诊部是经卫生部门严格审批的一所规范化、系统化、专业化的皮肤病专科医疗机构,也是集临床、科研、预防为一体的现代化皮肤病专科医疗机构,专业研究和治疗皮肤病的医保定点单位。新兴皮肤病专科深信“业精于专”的医疗精神,本着“专科、专病、专治”的原则,对专项疾病集中优势资源,系统提升疾病的诊断、治疗、康复、 保健、科研实力。
温馨提示:深圳新兴皮肤病专科汇聚全国皮肤病名医,引进齐全的诊疗设备,打造华南地区“专病、专医、专治”的皮肤病诊疗基地。为了满足患者的就医需求,特开通了免费网上咨询与预约,更加方便快捷的为患者服务。网络全天候诊,网上挂号直接就诊,无需等候,为广大患者节省时间,是皮肤病患者值得信赖的医院。














