螨虫皮炎最佳治疗方法
来源:深圳新兴皮肤病专科医院 时间:2016-10-13
螨虫皮炎最佳治疗方法。螨虫皮炎是由螨虫叮咬或接触其分泌物引起的皮炎。被叮咬后先出现局部皮肤瘙痒,尤以夜间为甚,为持续性剧痒。治疗可局部涂搽消炎止痒药。下面让新兴专家来详细介绍一下螨虫皮炎。
【螨虫皮炎病因】
1、专家表示,毛囊虫感染是此病的直接患病因素,一般来说,许多螨虫皮炎患者可在其皮损部位找到毛囊蠕形螨,这就表示患者的螨虫皮炎是因为毛囊虫感染导致的。
2、环境因素。螨虫皮炎,也是和环境因素有关的。因为螨虫大多生长在阴暗、潮湿,不透风等环境中。大家要注意保持环境卫生,注意室内通风等等。
3、其他因素,螨虫皮炎的发生,还有患者自己的病因,情绪因素,例如紧张、烦躁的情绪。内分泌失调,病灶感染等,均可以作为螨虫皮炎的发病因素。
【螨虫皮炎发病机制】
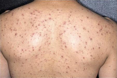
人若接触杂草、谷物可被叮咬,但虫体不能长期在人体上生活。被叮咬后先感局部皮肤瘙痒,尤以夜间更甚,为持续性剧痒,局部出现水肿性红斑、丘疹、丘疱疹、风团,中央常见有有虫咬的瘀点。先发生于身体接触部位或露出部位,以后侵及衣服被覆部位,以颈、躯干多见,上肢次之,面和下肢少见,重者皮疹可泛发全身。常因搔抓而出现抓痕、血痂、湿疹样变继发感染、局部淋巴结肿大,病程迁延数天不愈。
▶ ▶ 3T通调疗法治疗螨虫皮炎
“3T通调疗法”根据中医“病在肌肤,根在血液,治血必治脏”的理论,采用医外治法(穴位介入、净血疗法)、免疫调节系统和中药熏蒸法完美融合的中医治疗理念,采用现代生物工程技术与中医的草本化和西医的现代化联合应用。针对螨虫皮炎,采用个性化临床治疗方案,治疗效果好。
3T通调疗法治疗过程
一通:用“穴位介入或者净血疗法”疏通经络,活血化瘀,使药物的有效成分直接作用于局部,通过局部药物的渗透与吸收从而起到整体的治疗作用,可在短期内使患者病情得以缓解和临床治愈。经穴俗称穴位,是脏腑经脉之气输注于体表的部位。
二调:深圳新兴皮肤病医院引进国际最先进的“太空舱式”中药熏蒸仪器,加入中药进行全体熏蒸,内疗外治,加强病灶营养有效调节机体免疫力恢复,唤醒细胞的自然生理机能,提高自身免疫力。
三巩固:利用免疫调节系统内调脏腑,外疗肌肤,在修复皮肤组织细胞的同时形成保护膜,激活皮肤细胞组织的新生,使皮肤表层及深层受损组织恢复正常结构,血运恢复正常,并深度提高病区皮肤的抵抗力,从而彻底改变过敏体质,保持机体自然生理机能动态平衡,恢复机体正常的免疫功能,避免长时间口服药及外用药膏所导致的毒副作用,解决长期存在的复发难题,真正达到了标本兼治。
“3T通调疗法”技术优势
1、快速高效:针对患者不同过敏源,采用个性化治疗方案,结合中药整舱熏蒸治疗系统,将中药物理作用于病灶,可快速产生抗过敏源体;
2、疗效持久:将中药物理作用于病灶,可彻底改变过敏体质,有效调节机体免疫力恢复,恢复自然生理机能,避免长时间口服西药激素及外用膏剂所导致的毒副作用;
3、防止复发:辅以中药内调外治,加强病灶营养,提高自身免疫力,保持机体自然生理机能动态平衡,恢复皮肤自我养护功能,彻底解决复发难题。
深圳新兴皮肤病专科是经卫生部门严格审批的一所规范化、系统化、专业化的皮肤病专科医疗机构,也是集临床、科研、预防为一体的现代化皮肤病专科医疗机构,专业研究和治疗皮肤病的医保定点单位。新兴皮肤病专科深信“业精于专”的医疗精神,本着“专科、专病、专治”的原则,对专项疾病集中优势资源,系统提升疾病的诊断、治疗、康复、保健、科研实力。
温馨提示:为了满足患者的就医需求,特开通了免费网上咨询与预约,更加方便快捷的为患者服务。网络全天候诊,网上挂号直接就诊,无需等候,为广大患者节省时间,是皮肤病患者值得信赖的医院。
在线咨询预约就诊优势
★在线免费咨询——皮肤病专家24小时在线一对一“问诊”。
★提前预约挂号——免专家挂号费、免会诊费、优先就诊,轻松就医。
★假日专家门诊——方便患者休息日看病,不影响上班,提供更人性化服务。
医院电话:0755-25661122
接诊时间:8:00-21:00(节假日不休)
微信咨询:szpf120_com QQ:1207526885
医院地址:深圳市罗湖区东门中路1018号(水库站--东湖公园大门口旁)
乘车路线:N3路 1路 3路 17路 23路 29路 52路 53路 64路 211路 223路229路 M407路 306路 308路 320路 351路 372路 386路 376路
地铁路线:乘坐罗宝线到罗湖终点站下,转乘公交306路到水库站下车即可。










