专家详解湿疹症状 选对疗法事半功倍
来源:深圳新兴皮肤病专科医院 时间:2015-07-02
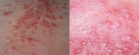
湿疹是一种常见的皮肤疾病,深圳新兴医院周忆云主任指出,湿疹有分型,且临床症状多,治疗需规范。 >>>根据自身状况直接咨询专家更便捷

一、种湿疹类型症状不同
1、急性湿疹:皮肤持续性剧烈瘙痒,发病急,常呈对称分布,以头面、四肢和外阴部好发。红斑、丘疹、水疱、脓疱、糜烂、结痂等各型皮疹可循序出现。
2、亚急性湿疹:皮肤瘙痒,皮疹以丘疹、鳞屑、结痂为主,搔抓后仍出现皮损糜烂。
3、慢性湿疹:多因急性、亚急性湿疹反复发作演变而成。皮肤常年瘙痒难耐,患处皮肤浸润增厚,变成暗红色及色素沉着。皮损纹变粗大,表现干燥而易发生皲裂。>>>问问专家自身湿疹的类型
二、警惕:激素药膏不能长期使用
很多湿疹患者在发现皮肤瘙痒后,往往去药店自行购买激素药膏,使用数天后发现病灶蔓延、皮肤有大量色素沉着、病灶处出现鳞屑等情况。
除此之外,用手挠止痒、热水烫等,均会造成细菌感染、皮损以及病情蔓延。因此建议,湿疹作为皮肤炎症反应需正规治疗。 >>>用过此类方法治疗又复发,问问专家
二、【中西医结合祛湿脱敏透析疗法】
速止痒 治疗各种不同类型的湿疹
该疗法依据"查找过敏源--控制过敏源--治疗湿疹"的原则,从根本上阻断过敏反应的发生,提高细胞对过敏源的耐受性。清除体内毒素,修复受损部位。既克服了以往的药物治疗导致的药物依赖性和针对性不强,又解决了长期治标不治本,反复发作等难题。。

三、【中西医结合祛湿脱敏透析疗法】治疗湿疹原理
★第一步:查找过敏源,消除细胞过敏记忆

通过德国摩拉生物检测系统,仅20分钟即可快速、精准检测出导致湿疹的过敏源因子,为进一步采取脱敏治疗打下良好的基础。
湿疹治疗费用贵吗?点击咨询>>
★第二步:调节细胞因子,促使病菌细胞凋亡

中药熏蒸通过作用于湿疹病灶周围的体表皮肤,通过皮肤的渗透、转运、吸收,使得药物离子直接到达病灶组织的表面和内部,从而起到药到病除的效果。
湿疹瘙痒难耐怎么办?免费咨询>>
★第三步:疏通经络,使药物直达病灶

采用纯天然生物制剂,剃调体内微循环,从根本上彻底改变 过敏体质,防止复发。本制剂是对脱敏针剂的复方免疫改进,解决了传统脱敏剂含激素,副 作用大、效果不稳定的难题,更加安全可靠。
我的湿疹能治好吗?问问医生>>
★第四步:调节身体机能,完善机体系统修复

该治疗系统可针对各类急慢性湿疹,可通过其独特的光源诱导皮肤表面坏死细胞凋亡,并促进新细胞的生成,调节细胞靶因子以及生长素因子,诱导抗炎因子以及免疫按捺因子,促使病菌细胞加速凋亡。
有湿疹症状?点击免费咨询在线医生>>
四、【中西医结合祛湿脱敏透析疗法】
治疗湿疹的四大优势
★优势一、精确诊断,杜绝误诊

运用最新国际先进皮肤病过敏原检测系统,精确检测各类致敏源,改变传统实验室过敏源检测的局限性,从根本上杜绝误诊、漏诊现象。
★优势二:改变过敏体质:

针对不同的湿疹,采取个性化治疗,改善过敏体质,促进血液循环和淋巴循环,改善周围组织的营养状况,同时排废排毒,使得机体气血通畅,代谢平衡,改善亚健康。
★优势三:排除体内深层毒素,有效治疗并发炎症

中西医结合祛湿脱敏透析疗法能够从深层排除湿疹患者皮肤和器脏中的湿毒、热毒、血毒,直接捣毁有害物质赖以生存的温床。加强患者对细菌、病毒等有害物质的抵抗能力,防止病原菌对皮肤的侵害。
★优势四:全面修复防止复发

内疗外治湿疹,加强病灶营养,调节肝脏功能,驱除体内湿热病毒,修复皮肤组织细胞,提高细胞自身的免疫能力,使角质溶解、脱落,长出健康肌肤。
五、【中西医结合祛湿脱敏透析疗法】治疗效果
康复案例一:
治愈手部湿疹 重拾自信

治疗前:陈先生,安徽人,今年29岁,患有湿疹近3年,为了治好湿疹,也寻求了不少医院,吃过的药不知道有多少种,花了几万元的医疗费,结果无济于事。
诊断:一年多前,她打听到了“深圳新兴皮肤病专科”,得知这家医院治疗皮肤病非常的不错,于是就来了深圳新兴皮肤病专科诊疗中心。
治疗效果:患者手上的皮肤皮损、丘疹基本消退,表皮光滑,无抓痕。

六、新兴治湿疹首席专家【周忆云】

周忆云深 圳新兴皮肤病专科皮肤病学科带头人,湿疹诊疗首席专家,从事湿疹临床研究治疗20余年,在湿疹的鉴别诊断、病因检测、分型论治方面经验丰富,方法独 特。其在国内率先提出湿疹“分型寻根”论治,将湿疹治疗带入中西结合、寻根论治的时代。擅长诊治各类湿疹,尤其擅长诊治复发型湿疹,青少年型湿疹及久治不 愈型湿疹。
温馨提示:如果你正经受湿疹的困扰,一定要及时就医,以免延误病情导致更大的伤害。如果您还有疑问,请点击咨询或拨打热线:0755-25661122解,深圳新兴皮肤病专科祝您健康!





