牛皮癣
来源:深圳新兴皮肤病专科医院 时间:2015-03-06
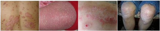
银屑病(Psoriasis) 俗称牛皮癣,祖国医学称银屑病为“白疕”,是常见的慢性,复发性,炎症性的 皮肤病。其特征是出现大小不等的丘疹,红斑,表面覆盖着银白色鳞屑,边界清楚,好发于头皮,四肢伸侧及背部。男性多于女性。春冬季节容易复发或加重,而夏 秋季多缓解。银屑病可以在任何年龄发病,但在10岁以下发病较少,发病高峰在15~30岁之间。典型的皮肤表现是境界清楚的具有银白色鳞屑的红色斑块。轻 者可表现为几个银币大小的肘膝部位斑块,重者也可以全身皮肤受累。

牛皮癣的症状
免专家挂号费,免排队等候![]()
牛皮癣病因:
本病的病因尚不完全明确,近年来大多数学者认为与遗传,感染,代谢的障碍,免疫功能障碍,内分泌障碍等有关。
1.遗传 根据临床所见,本病常有家族史,并有遗传倾向。双亲之一患银屑病,其后裔发病率较健康者子女高3倍之多,若双亲皆患银屑病,其后裔发病率更高。
2.感染 临床实践证明银屑病的发病与上呼吸道感染和扁桃腺炎有关。有6%的银屑病患者有咽部感染史。同时还发现很多儿童的银屑病与扁桃腺炎有密切关系。
3.代谢障碍 过去有人认为银屑病的发病与脂类代谢紊乱有关。目前关于本病的病因已不能认为由类脂质代谢紊乱引起的。而多从酶代谢的改变来进行研究。在正常人的表皮内有四种酶,而在银屑病患者的皮损内则缺少其中二种,皮损治愈后,其中两种酶又重新出现。
4.免疫功能障碍 银屑病与免疫的关系一直受到广泛重视。临床上有用免疫抑制剂治疗本病受到成效的例子。银屑病患者存在多种局部或系统性免疫功能异常,目前关于本病的免疫发病机理尚未完全清楚。比较流行的看法是,银屑病是由活化的T细胞引起的表皮细胞增生性疾病。
5.内分泌障碍 银屑病与激素的关系,早已受到人们的重视。本病与妊娠,分娩,哺乳期,月经期有关。我们在临床上观察到,部分银屑病患者在妊娠期皮疹减轻或消退。但是有的妇女在妊娠皮损加剧或恶化,因此也有的使用长效避孕药治疗本病获得一定疗效的报道。
6.其他 如精神的创伤,外伤或手术,潮湿,血液流变学的改变,以及理化因素及药物刺激等,对银屑病患者的发病也有一定关系。
鉴别诊断:
银屑病 红斑边界清楚,基底浸润明显,呈斑片状,表面覆盖鳞屑厚而干燥,呈银白色,刮除鳞屑后可见发亮的半透明薄膜,再刮除薄膜可见点状出血。这是银屑病与其他红斑鳞屑疾病鉴别的要点。
脂溢性皮炎 红斑边缘不十分鲜明,基底部浸润较轻,鳞屑少而薄,呈淡黄色油腻性,刮除后没有薄膜现象及点状出血。
玫瑰糠疹 好发于躯干及四肢近端,为多数椭圆形小斑片,其长轴沿肋骨及皮纹方向排列,鳞屑细小而薄。大多数病人数周后可自愈,消退后不易复发。发病时常先有一个母斑,以后逐渐增多。
副银屑病 较少见。其表面鳞屑较薄,周围炎症轻微,没有薄膜现象及点状出血,没有任何自觉症状。
盘状红斑狼疮 好发于面部,特别是两颊和鼻背部,呈蝶形分布。红斑境界清楚,表面可见毛细血管扩张。其鳞屑为粘着性鳞屑,与红斑粘附紧密,剥离鳞屑,可见其下扩张的毛囊口,鳞屑底面有很多刺状角质突起。病程日久,可见损害中心萎缩凹陷,色素改变。
慢性湿疹 常可表现为红斑,上覆鳞屑,好发于小腿部。但慢性湿疹多伴有剧烈瘙痒,皮损两侧对称,其浸润程度较银屑病为重,表面鳞屑较薄,不呈银白色,基底色红,可有渗水。
新兴案例的对比图片:
杨娟在多年前曾经患过牛皮癣,当时因为病情不是很严重,再加上及时治疗,很快就治好了。然而现在随着年龄的增长,杨娟的免疫力逐渐降低,在受到外界风寒刺 激后,一次重感冒,他的牛皮癣在一年前复发了。皮损是界限清楚的红斑,上覆盖有很厚的灰白色或银白色的鳞屑。皮损有多种形态,小的呈点滴状,较大的呈钱币 状或环状,腿部皮损长期不退,呈地图状外观。而且不住的挠患处之后,情况越来越严重,明知道不能去挠,但是却耐不住那奇痒无比的痛楚。
杨娟在半年前经朋友的介绍下来到了深圳新兴皮肤病专科,牛皮癣权威专家沈朝禄根据他的情况为他制定了详细的治疗计划,采用了深圳新兴皮肤病专科权威专家组特别推出的CPC牛皮癣整体康复体系,治疗三个疗程之后,病情好转,皮损颜色越来越淡,鳞屑由多逐渐变少,皮损由厚逐渐变薄变平。有的皮损先从边缘开始,逐渐缩小,大块皮损先从中间开始分化,变成几个小块,最后皮损完全消退。之后,杨娟又巩固治疗一个疗程,治愈之后,牛皮癣没有复发的迹象。
牛皮癣预防:
一、预防感染:局部感染灶是诱发牛皮癣的一个重要原因,尤其是感冒后,并发扁桃体炎、气管炎,需要积极治疗,尽量缩短病程。
二、过敏因素:是牛皮癣的重要诱发原因之一。由于饮食或服用药物,或接触某种物质而过敏,常可诱发牛皮癣的发生。
三、受潮着凉:受风寒侵袭而诱发牛皮癣的为数较多,由于居住环境潮湿、天气寒冷,可使本病发生或加重, 因此患者应尽量避免大冷大热刺激皮肤,住室保持通风干燥。
四、精神因素:过度的精神紧张,性情急燥,情绪抑郁等精神 因素为诱因,占其 它诱因之首,在我国约占牛皮癣总发病率的18.6%。 精神过度紧张,可产生一系列心理或生理反应,促使神经内分泌紊乱,损害机体免疫防御系统,及某些酶的代谢紊乱,从而促进了牛皮癣的发生,因此在遇有不可抗 拒的或无法预知的突发事情,患者应尽量控制情绪,保持平静心情,保证充足的睡眠时间,必要时可服用适量镇静剂。
五、慎用下列控制性药物:首次选用什么样的药物来治疗牛皮 癣,对其疗效及愈 后是否复发起关键作用。目前常用于控制牛皮癣的药有皮质激素类、抗肿瘤类等。 皮质激素控制银屑病虽然见效快、使用方便,但副作用很大,成为重症牛皮癣的主要诱因,故对一般患者不能滥用激素,必须使用时也只能外用或在医生的指导下正 规使用。
总之,牛皮癣的诱发原因很多,只有患者在日常生活中多加注意,注意环境卫生,积极消除诱发因素如忌酒、忌辛辣、鱼虾、海味、羊肉及腥发动风之物,慎防感冒、扁桃体发炎,患病要到正规医疗部门治疗,慎用有些控制性药物等等,才能减少复发机会。
牛皮癣治疗:
深圳新兴皮肤病专科“CPC牛皮癣整体康复体系”三大着力点逐一攻破牛皮癣。
一、清除(clear)--中药净血疗法清除血毒。第一个着力点就是利用净血疗法配合特质的中药方清除人体血毒。因为牛皮癣的发病因素不确定,口服中药对人体干扰损害小,可以减少毒副作用。
二、渗透(penetration)--中药超导渗透治疗。运用国际医药传导技术领域最新科研成果“超导渗透技术”,直达皮肤表层患病细胞,使药物的活性成分,持久作用于病灶,疗效更稳定,达到标本兼治的效果。
三、巩固(consolidate)--巩固治疗,纠正免疫异常。通过对机体的多途径、多靶点的整合调控作用,使机体的神经--内分泌--免疫系统处于稳定状态。
深圳新兴皮肤病专科牛皮癣诊疗中心由国内知名的、对牛皮癣有特殊研究的知名皮肤病沈朝禄教授、闫荣磊专家主 任、周忆云主任等多位专家坐诊,他们临床经验丰富,研究深入。毕业于武汉大学,从事皮肤病的科研与诊疗工作30余年,经常应邀参加各种皮肤疾 病大会,和学术界泰斗一起研究皮肤疾病的救治,不断拓展最新信息,学习新的 技 术及经验。兢兢业业的工作态度,深受广大患者的爱戴和信赖,业界人士的认可与肯定。 运用国际最新技术CPC牛皮癣整体康复体系、308准分子激光系统、311窄频治疗仪治疗脱发、白癜风、银屑病疗效显著,受到广大患者的好评。
在线咨询预约就诊优势:
★在线免费咨询——权威皮肤病专家24小时在线一对一“问诊”
★提前预约挂号——免专家挂号费、免会诊费、优先就诊,轻松就医。
★假日专家门诊——方便患者休息日看病,不影响上班,提供更人性化服务。
医院电话:0755-25661122 接诊时间: 8:00-21:00(节假日不休)
微信咨询:szpf120 QQ:1207526885
医院地址:深圳市罗湖区东门中路1018号(水库站--东湖公园大门口旁)
乘车路线:N3路 1路 3路 17路 23路 29路 52路 53路 64路 211路 223路229路 M407路 306路 308路 320路 351路 372路 386路 376路。
地铁线路:乘坐罗宝线到罗湖终点站下,转乘公交306路到水库站下车即可。











